The image is a digital graphic with a textured background and a gradient overlay, featuring a teal color at the bottom transitioning to a darker shade above.

Smile Gallery

The image shows a person with a wide smile, displaying yellowed teeth and gums, which could suggest poor oral hygiene or the need for dental care.

Before

A close-up of a person s smile showcasing straight, white teeth.

After

An image of a close-up view of a person s teeth, showcasing yellowed and stained teeth with visible tartar buildup.

Before

The image shows a close-up of a person s teeth with visible discoloration, particularly yellowing.

After

A close-up of a person s smiling face with a gap between the upper front teeth.

Before

A close-up of a smiling person s mouth, showcasing white teeth and a pink tongue.

After

The image shows a close-up view of a person s mouth with visible teeth, gums, and a partial view of the lower lip.

Before

A close-up of a person s teeth with a focus on the lower front teeth, showcasing a bright smile.

After

An image of a person s mouth displaying a set of crooked, yellowed teeth with visible plaque and stains.

Before

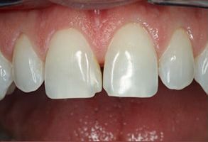
The image shows a close-up view of a person s teeth, with the focus on the front teeth which appear to be in need of dental work.

After

The image shows a close-up of a person s teeth, with the lower front teeth prominently visible, exhibiting signs of decay and discoloration.

Before

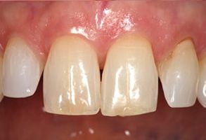
The image shows a close-up of a person s teeth with a focus on a set of white, straight front teeth.

After

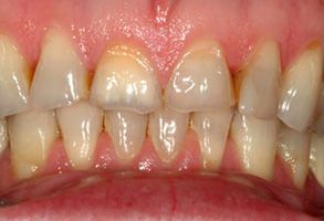
The image shows a close-up of a person s mouth with yellowed teeth, some of which appear to have been repaired or replaced with crowns.

Before

An image of a person s mouth showing a set of teeth with visible staining and yellowing, suggesting the need for dental care or maintenance.

After

Office Hours
Mon - Thurs: 8:00AM - 1:00PM, 2:00PM - 5:00PM
Fri: 8:00AM - 1:00PM
3421 Robin Lane, Cameron Park, CA 95682